- 心腔・冠動脈造影
- 心腔カテーテル挿入
- 原著論文
- 1929 自己人体実験による心腔カテーテル挿入
- 1931 自己人体実験による心腔造影
- 関連文献
- 1997 フォルスマンの長女の回想録
- 心腔造影
- 原著論文
- 1927 初の肺動脈・右心腔造影
- 1939 初の両心腔造影
- 1947 カテーテルによる心腔造影
- 関連事項
- 高速連続撮影法
- 冠動脈造影
- 原著論文
- 1962 初の選択的冠動脈造影
- 1967 Seldinger法による選択的冠動脈造影(Judkins)
- 1967 Seldinger法による選択的冠動脈造影(Amplatz)
心腔・冠動脈造影
心腔カテーテル挿入
ドイツの内科医Werner Forssmann(フォルスマン,1904-79)は,学生時代より心機能の診断法に関心を寄せていた.50 年前にフランスの生理学者が動物の心腔内にカテーテルを挿入して内圧を記録した実験にを知り,ヒトにもこれを応用しようと考えたが,当時,心腔に異物を挿入すれば心停止の危険があると考えられていたため,上司の許可が得られなかった.止むなく自己人体実験に踏み切り,人気の無い深夜の病院で自らの肘静脈にカテーテルを挿入し,レントゲン室で透視下に先端を右心房まで進めて撮影した.まったく症状はなく,カテーテルの心腔内挿入が安全であることを証明することに成功した.しかし,当時のドイツ医学界はベルリンの大学を頂点とするアカデミズムの厳格な支配下にあり,市井病院の駆け出しの医者がこれを差し置いて実験するなど論外であった.苦肉の策として,新しい研究ではなく診療の一環として心臓内に薬物を緊急に投与する方法としてカテーテル挿入を考案したという筋立ての論文を発表した[→原著論文].
Forssmannはその後も自己人体実験を繰返し,心腔造影も試みたが結局成功せず[→原著論文],まもなく学界から放逐されて研究生活を離れ,外科・泌尿器科の臨床医に転向した.しかし1956年,四半世紀の後,この方法をもとに右心カテーテル法を完成させたアメリカのCournand, Richardsらとともにノーベル賞を受賞した[→関連文献].
原著論文
図1. Forssmannが行なった自己人体実験.左上肢静脈から右心房に挿入されたカテーテルが見える.
【要旨】 緊急時の心腔内薬剤投与法の新しい方法として,静脈系から右心系へのカテーテル挿入を試みた.屍体による実験を経て,自らを実験台としてこれを試した.肘静脈を穿刺し,ここから尿管カテーテルを挿入した.カテーテルの移動に伴い軽度の温感を感じた他は副作用はなかった.カテーテルを挿入した状態でレントゲン撮影室に移動して撮影したところ,カテーテルが右心房に達していることを確認した(図1).
臨床例として,高度の循環障害の患者の心腔内にこの方法でアドレナリンなどの薬剤を投与し,症状の改善をみた.かくして,右心系へのカテーテル挿入は安全であることが証明できた.
【解説】 Seldinger法による経大腿動脈的,選択的冠動脈造影法を報告した論文.本稿の1ヵ月前のRadiology誌(5月号)にオレゴン大学のJudkinsが同様の手技を報告している.冒頭に,大動脈起始部,Valsalva洞の解剖が詳述されている点は興味深い.技術的な記載はJudkinsと基本的に同じで,左右の冠動脈それぞれに適合したプリシェープのカテーテルを使用し,それぞれ3つの異なるサイズを用意している点も共通である.カテーテルの形状は,Judkinsのものとやや異なり基本的にJ型,フック状である.うまく挿入できない場合に,いかに成功させるかという技術的なアドバイスが詳述されている.
Amplatz型のカテーテルは,現在もJudkins型と並んで広く使用されており,特に動脈硬化で血管に蛇行,石灰化が強い場合はAmplatz型が有用である.
図2. カテーテル法によるイヌの心腔造影.自己人体実験では造影効果が得られず,失敗に終わった.
【要旨】 上肢静脈から造影剤を投与して上大静脈~心腔を造影することには誰も成功していない.そこで,前年に自分が報告した右心系へのカテーテル挿入法を拡張して造影を試みた.前報の後,22例にカテーテル挿入を試み,15例で成功した(図2).動物実験で心腔が造影されることを確認し,再び自己人体実験を試みた.
1回目は,左肘静脈から8Fの心臓カテーテルを挿入し,25%ヨウ化ナトリウム20ccを急速注入して撮影し,肺動脈の画像が得られたが心腔は見えなかった.注入後まもなく軽度のめまいがあったがすぐ消失した.1日半にわたってヨウ素による鼻閉感,味覚障害があった.2回目は,右大伏在静脈から8F尿管カテーテルを挿入し,Uroselectan(ウロセレクタン)を20cc注入したが,技術的な理由によりX線撮影はできなかった.
動物実験の観察では,心腔の形態は心房収縮期,心室収縮期,静止期の3時相が区別され,それぞれ形態が異なっている.
【解説】 右心系にカテーテルを挿入する前掲の第一報は予想に違わず大きな批判を受けたが,その続報として再び自らを実験台にして心腔造影を試みた論文である.動物実験では造影写真が得られたが,自己人体実験での撮影には失敗した.ここで述べられている自己人体実験は2回であるが,実際には9回行なってすべて失敗したらしい.論文の後半には,お茶を濁すように動物実験における心腔形態の観察結果が述べられている.この論文発表の直後,Forssmannは医学界から追放された.
関連文献
図3. ノーベル賞授賞式で談笑するForssmann.左からRichards,Forssmann,Cournand.
【要旨】1904年,フォルスマン(Wener Forssmann)は,ベルリンに生まれたが,12歳で弁護士の父が戦死,母と祖母に育てられた.若い頃から人道主義的教育を受け,義務を重んずる伝統的価値観の持ち主であった.医学生時代にフランスの生理学者が動物の心臓にカテーテルを挿入して圧を測定した論文を読み,これを診断目的で人間に応用することを考えた.卒業後就職したAuguste-Viktoria病院でこれを試みようとしたが,上司に反対され,止むなく隠密裏に手術室で自らの肘静脈から右心房にカテーテルを挿入してX線を撮影し,カテーテル挿入が安全であることを証明した.しかし,権威主義的なアカデミズムの支配する当時のドイツ医学界では受入れられず,失意の内に研究者の道をあきらめ,外科,泌尿器科の臨床医に転向した.
1932年,ナチ党員となり,戦争捕虜として終戦を迎えた.ナチ党員であったことからすぐに復職できず,1950年にようやく地方の小さな病院に職を得た.1956年,心臓カテーテル法の開発に対して,アメリカのCournand, Richardsらとともにノーベル賞を受賞した(図3).1960年以降は,安楽死に強く反対する意見を表明し,さらに臓器移植についても安楽死を助長するとして激しく攻撃した.ややもすれば常軌を逸した晩年の言動の背後には,ナチに加担したことへの痛恨の思いも影響しており,これに生涯にわたって苦しんだ.1969年に引退するまでデュッセルドルフの病院で臨床医として活躍,1979年に病没した.
フォルスマンが自己人体実験を行なった病院の手術室,X線撮影室は現在も使われており,その後 Werner Forssmann 病院と改名された.
【解説】著者はフォルスマンの末子,長女で,精神科医である.家族からみた,そして同じ医師としてみたForssmannの素顔を語ると同時に,また精神科医としてForssmannの内面的葛藤を分析している点で,興味深いエッセイである.
フォルスマンは,厳格なドイツ的倫理観の持ち主で,公益のために私利を捨て,患者のために尽すことを最優先する人物であった.自己人体実験まで行なって研究者の道をめざしたが,当時のドイツ医学界のアカデミズムの枠組みの中で出る杭は打たれて排斥され,さらにはからずもナチズムに加担して戦後しばらくは医療も行えず,常に自己の倫理観,ロマンチシズム的理想と現実の葛藤に苛まれ続けた.その中にあってノーベル賞受賞は,それまでの苦労に報いる大きな出来事ではあったが,晩年も安楽死の倫理をめぐる葛藤は絶えることがなかったようである.
ノーベル賞受賞理由は,心臓カテーテル法の創始で,確かにそれまで危険と考えて誰も試みなかった心腔内カテーテル挿入の安全性を自己人体実験で証明し,その後のCournandらの心臓カテーテル法の臨床応用への道を拓いた意義は大きい.しかし,ノーベル賞に値するほどのものかという点については多少疑問のあるところで,これについては本稿でも触れられている.心臓カテーテル法により心腔内圧を測定したCournand,Richardsの論文は1940年代前半,第二次世界大戦中に発表されたものであるが,交戦国であるドイツのForssmannの論文が,カテーテル法の先駆として引用されている点がその受賞につながったものであり,アメリカ人研究者の科学的公平性も評価されるべきであろう.
心腔造影
図4. Castellanosによる初の心腔造影.肘静脈から造影剤を注入し,初めて臨床的に有用な心腔造影に成功した[1].
Forssmannは右心カテーテル法の安全性を証明したものの,所期の目的である心腔造影には成功しなかった.曲がりなりにもこれに初めて成功したのは,脳血管造影の産みの親,Monizである(1931).Monizは,Forssmannの論文を知り,同じように肘静脈から右心系にカテーテルを挿入して肺動脈,右心系を造影した[→原著論文].しかし,画像は肺動脈,右心系の濃度がかろうじて上昇しているという程度のもので,臨床応用には至らなかった.その後も,右心造影,肺動脈造影の試みはいくつかあったものの,実験的なものにとどまっていた.
心腔造影の本格的臨床応用を初めて報告したのはCastellanosら[1]で.肘静脈の直接穿刺による造影で,対象は小児に限られ,左心系については論じられていないが,小児の細い血管を対象としていることもあってかなり良好な造影が得られている(図4).その翌年,アメリカのRobbらは,やはり肘静脈直接穿刺により成人の左心系をふくめて心腔造影を報告しているが,成人の太い血管で造影剤の稀釈により十分な濃度を得ることが難しく,画質は十分とは言い難かった[→原著論文].
カテーテル法による初めての本格的な心腔造影は,1947年,メキシコのChávezらによるもので[→原著論文],外頸静脈から右心房あるいは右心室に挿入したゴム製カテーテルからDiodrastを急速注入し,良好な心腔造影を得ることに成功した.ここに至ってForssmannがめざした心腔造影がようやく実現したことになるが,この時点ではまだいわゆる「一発撮り」 で,循環時間にあわせて撮影タイミングを決定する必要があり実際的なものとはいえなかった.この問題の解決には,さらに高速連続撮影の技術が必要であった.
原著論文
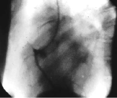
図5. 肺動脈造影.Forssmannの方法にならってカテーテルを上肢から右心房に進め,120%ヨウ化ナトリウム6ccを注入した.肺動静脈がわずかに造影されているが造影効果は弱く,実用的なものではなかった.
【要旨】まず動物(ウサギ,イヌ,サル)の右心室を直接穿刺してヨウ化ナトリウムを注入し,肺血管が造影されることを確認した.ヒトの上肢に25%ヨウ化ナトリウムを静注したが,鎖骨下静脈までしか見えなかった(図5).両側から注入したり,ヨウ化ナトリウムの濃度を30%にしても同様であった.そこで外頸静脈,前頸静脈の穿刺を試みたが,造影剤は上大静脈の方向に十分流れず,これは内頸静脈の血流が優位であるためと思われた.
最近になって,Forssmannが肘静脈からカテーテルを安全に右心房に挿入したことを知り,同じ方法を用いて良い結果が得られた(図7).上肢静脈から尿管カテーテルを右心房に挿入し,120%ヨウ化ナトリウム5~6ccを急速に注入し,肺動静脈が造影された.動脈と静脈を区別することは難しかった.
【解説】1927年に脳血管造影に成功したMonizは,さらに右心系,肺動脈の造影を試みた.ヨウ化ナトリウムを上肢,頸部表在静脈に注入して造影したが,造影剤が逆流して上大静脈~右心系に到達しなかった.丁度その折り,Forssmannの右心カテーテル法を知り,カテーテルを右心房まで挿入して,右心系,肺動脈の造影に成功した経緯が記されている.対象はまだ正常例のみで疾患の画像所見には言及されていない.Monizは,肺動脈,心腔造影に関してはこれ以上の研究は行なっておらず,実際の臨床応用にはなお数年を要した.
図6. 造影剤を肘静脈から注射器で注入し,右前斜位像を撮影する様子.事前に推測したタイミングでの「一発撮り」である.
【要旨】太い輸血針で上肢静脈を穿刺し,坐位にて70% Diodrast を25~45ccを2秒以内に注入する.事前にエーテル循環試験,青酸循環試験など試験によって上肢-肺循環時間を測定しておき,これをもとに造影後の遅延時間を決めて曝射する(図6).撮影のポイントは,右心系を循環したあと左心室~大動脈を造影するに十分な量の造影剤を急速に投与することと,撮影のタイミングである.Diodrast は,一過性の血圧低下をみることがあるが大きな副作用はなく,127例,238回の検査を行なったが安全であった.先天性,リウマチ性,高血圧性,梅毒性心疾患において,それぞれ特徴的な所見が見られた.本法は,循環系の診断法に新たな領域をひらくと考えられる.
【解説】成人の左心系をふくめて,初めて実際的な心腔造影を報告したのが本論文である.この前年にメキシコのCastellanosらが小児を対象として,同様の方法で右心系造影を報告しているが,Robbらはこれとは独立に研究を進めていた.Castellanosと同じくカテーテルを使用せず,肘静脈からの静注である.造影剤は有機ヨード造影剤のジオドラストを用い,事前の検査で循環時間を推測してタイミングを決定する「一発撮り」であるが,具体的な位置決め方法や撮影のコツを含めてきわめて詳細,実際的な記述である.
図7. 右頸静脈から太いゴム製カテーテルを右房に挿入し,心腔造影に成功した.右心系,肺動脈がよく造影されている.正常例.
【要旨・解説】頸静脈をカットダウンしてゴム製カテーテルを右房あるいは右室内に挿入し,初めて臨床的に有用な心腔造影に成功した報告である.造影剤は70% Diodrast 50~90ccを使用している.原則として造影剤注入終了時に撮影しているが,必要に応じて適当な間隔をおいて時相をおいて複数回撮影している.撮影方向は原則として正面,側面像である.造影剤注入法については記載がないが,0.75~1秒で注入すると書かれており,これは現在から見てもかなりの注入速度である.カテーテル径も不明だが,写真にうつっているカテーテルはかなり太く,おそらく機械式インジェクターを使用したのであろう.
1927年にMonizも頸静脈からカテーテルを挿入して心腔造影を試みているが,造影剤がヨウ化ナトリウムであったため,十分な濃度が得られず,臨床的に有用な画像はえられなかった.1937年にCastellanosが小児の右心系,1939年にはRobbが成人の両心系の造影に成功しているが,いずれも肘静脈からの造影剤注入であったため,造影剤が稀釈され,特に成人では十分な造影が得られなかった.本論文は心腔内に太いカテーテルを挿入して,大量の造影剤を急速注入することにより臨床検査としての心血管造影の端緒となった.1929年に心腔内カテーテル挿入に成功したForssmannは,その本来の目的である心腔造影には失敗したが,その悲願がここにきて初めて成就したとも言える.
正常像,リウマチ性心疾患,先天性心疾患などが供覧されているが,いずれも十分診断に耐える画質である(図7).単純X線写真の心弓と心腔の関係,巨大左房による二重輪郭など基本的な解剖学的事項に加え,リウマチ性弁膜症,総動脈幹遺残などの複雑心奇形にも言及している.
関連事項
図8. 患者の胸の前に置いた蛍光板を左側のシネカメラで35mmフィルムに記録する(photofluorography)[4]
図9. Monizが考案したフィルムチェンジャー Escamoteur. 1枚目撮影後,右側のヒモを引いて乾板を引き抜き,2枚目を撮影するというきわめて単純な方法であった[6]
図10. ロールフィルムを利用した初の高速連続撮影装置[8].
高速連続撮影法
心血管造影には,1秒間に何枚もの写真を連続的に記録する高速連続撮影法が必須であるが,これには主に3つの方法がある.すなわち (1) 蛍光板にうつる透視画像を小さなカメラで撮影する方法(photofluorography),(2)カットフィルムを高速移動する方法(高速フィルムチェンジャー),(3)大きなロールフィルムを使用する方法である[2].
蛍光板をカメラで撮影する方法は,1939年Stewartらが16mmシネカメラを使用した方法を報告しており[3],その後1948年にはWatsonらが35mmモータードライブカメラを使用している[4](図80).しかしフィルムサイズが小さいために空間解像度に限界があり,専用の観察装置が必要であるという不便があった.
高速フィルムチェンジャーの原型を考案したのは,フランスのPereira-Caldas で[5],radio-carrouselと呼ぶその装置は,24x30cmのフィルムカセットが大きな円板内に複数埋め込まれており,これを手動で回転して順に撮影位置に移動して毎秒1枚の撮影を可能とするものであった.脳血管造影の創始者Monizは,radio-carrouselをもとに脳血管用のescamoteurを開発している.これは2枚のフィルムを鉛遮蔽板を挟んで重ねておき,1枚目の撮影後,手動で引っぱり出して2枚目を撮影する,非常に単純な方法であった[6](図90). 1948年,スウェーデンのAxén & Lindは,初めて直交2方向撮影が可能なフィルムチェンジャー装置を開発した[7].この他,多くの研究者がそれぞれ独自の装置を工夫したが,いずれも複雑な構造で広く普及しなかった.
ロールフィルムを初めて報告したのは,Rugglesらが1925年のRSNAで発表したもので,幅8インチ,長さ30フィートのフィルムに,大きさ8×10インチの画像を毎秒1枚,15枚撮影できる装置であった(図10)[8].その後も様々な装置が開発されたが,1948年にScottらが空撮用カメラをもとに作ったRapidographは,幅9 1/2インチ,長さ78フィートのフィルムを0.5秒間隔で撮影できた[9].ロールフィルム法は長時間の記録が可能であったが,カットフィルムに特化している放射線科では扱いにくいという欠点があった.
これらのフィルムを利用した高速連続撮影法は,いずれも機械的に複雑,高価であった.心臓血管造影のさらなる飛躍には,光電子増倍管の発展を待つ必要があった.
冠動脈造影
図11. 1933年,動物実験による冠動脈造影の初報.ウサギの上行大動脈造影で,両側冠動脈が描出されている[10].
図12. アセチルコリン投与による心停止下の上行大動脈造影.冠動脈が明瞭に造影されている[14].
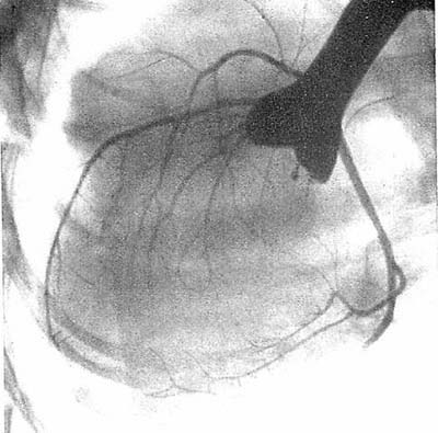
図13. 1958年,世界初のカテーテルによる選択的冠動脈造影[21].
上行大動脈や心腔を造影する場合,偶発的に冠動脈が淡く造影される機会があったことは容易に想像されるが,これを明記したのは1933年にRousthoiが動物の上行大動脈造影で冠動脈が観察できることを記載したのがおそらく初報である[10](図11).1945年にRadnerは,冠動脈造影を目的とした臨床例を初めて報告したが,これは経胸骨的に上行大動脈を直接穿刺方法であった[11].その後,末梢血管から大動脈起始部に挿入したカテーテルから造影剤を注入し,さまざま工夫をこらして冠動脈内の造影剤濃度を高める試みが続いた[12].1955年,Boerema & Blickman[13]は,全身麻酔下にサクシニールコリンで呼吸を抑制し,心臓への静脈還流を減少させるために人工呼吸バッグで器官内圧を昇圧し,上行大動脈内のカテーテルから造影することにより冠動脈の描出能が向上することを示した.1956年,フランスのArnulf[14]は,イヌの大動脈を造影中に偶然麻酔による心停止がおこり,きれいな冠動脈像が得られたことを機に,アセチルコリンを末梢静脈からボーラス投与することにより一過性に心停止状態として冠動脈を造影する方法を開発して,1960年に前胸壁から大動脈弓を穿刺して臨床例を報告した(図12).同様の方法は,1959年にLehmanも報告している[15]. 1959年,Dotterは心停止下に上行大動脈をバルーンで閉塞する方法を提案している[16].
これらの方法は,いずれもカテーテルを大動脈起始部に置いて,冠動脈に流入する造影剤濃度をいかに高めるかという点に主眼が置かれているが,どれも侵襲が大きく,一般的な臨床応用は難しいものばかりであった.1953年にSeldinger法が発表され,その後間もなく大動脈の各分枝に選択的にカテーテルを挿入する方法が確立していたが[→原著論文],冠動脈に限っては選択的カテーテル挿入が試みられなかった.その理由は,適当な材質,形状のカテーテルがなかったことに加えて,1本の冠動脈に造影剤を注入すると,心筋内の電気的不均衡を生じて心室細動,心停止を生じるという説が根強く信じられていたことも一因であった[17].
初めて選択的冠動脈造影に成功したのは,Cleveland Clinicの Mason Sonesである.1958年10月28日,Sonesは僧帽弁膜症の患者の大動脈造影を行なっていたが,頸動脈から大動脈起始部に挿入したカテーテルから造影剤を注入したとき,造影剤の大部分が右冠動脈に流入してしまった.透視でこれを見ていたSonesは,心停止を予想して開胸心臓マッサージをすべくメスを手にしたが,心電図をみると5秒間の無拍動の後,洞性徐脈となり,アトロピンを投与すると間もなく正常の心拍が回復して患者にも問題はみられなかった[18].これによって冠動脈に大量の造影剤が入っても心停止に至らないことが判明した.翌々日,世界初の選択的冠動脈造影(図13)に成功したSonesはさらに研究を進め,専用のカテーテルの開発,透視装置の改良などを行って選択的冠動脈造影法を確立し,1962年に1,000例の臨床成績とともにその技術を報告した[→原著論文].
Sonesの方法は,上腕動脈をカットダウンしてカテーテルを挿入する方法であったが,1967年にMelvin Judkins がSeldinger法による経大腿動脈選択的冠動脈造影法を開発し*[→原著論文],同年これとは独立にKurt Amplatz も同様な方法を発表した[→原著論文].これによって選択的冠動脈造影は放射線科医でも容易に行えるようになり,以後冠動脈造影は広く普及した.現在行なわれている方法も基本的にこの方法である
*これ以前,1961年にRicketts & Abramsが Seldinger法による選択的冠動脈造影に成功しているが[19],汎用カテーテルがなかったため普及には至らなかった.
心腔造影,冠動脈造影は,いずれも主に放射線科医の手によって開発され,特にSeldinger法の導入当初は,これを得意とする放射線科医により行なわれることが多かった.しかし,単なる造影検査だけではなく内圧測定,電気生理学的検査なども同時に行なわれるようになり,次第に放射線科医の役割は縮小し,循環器内科医,心臓外科医の手で行なわれるようになって今日にいたっている.
原著論文
図14 選択的左冠動脈造影,右斜位撮影.上:内膜剥離術前,下:術後. [20]
【要旨】上腕動脈をカットダウンしてカテーテルを挿入し,先端をValsalva洞の冠動脈口に置き,2~5ccの造影剤を注入した.5インチの光電子増倍管の透視像を35mmシネカメラを使って毎秒60フレーム撮影してビューワで動画を観察し,キーフィルムは2×3cmの印画紙に焼きつけた.
1,020例に対して7,207回の造影を行ない,2本の冠動脈にカテーテルを挿入できたのは954例,いずれの冠動脈にもカテーテルを挿入できない例はなかった.合併症としては,12例で心室細動が発生,うち2例が死亡,この他に1例が冠動脈攣縮で死亡し,死亡率は0.29%であった.上腕動脈切開部の閉塞が6~7%に見られたが,多くは無症状であった.
所見としては,動脈硬化症による狭窄,閉塞の描出,機能的狭窄の鑑別,石灰化,冠動静脈瘻などが描出できた.
【解説】冠動脈にカテーテルを挿入して造影する選択的冠動脈の初報である.実際にSonesがこの方法を始めたのは1958年であるが,その後技術を改良し,4年間にわたる症例を蓄積して発表されたものである*.これ以前の冠動脈造影は,いずれも上行大動脈の直接穿刺あるいは末梢から大動脈起始部に挿入したカテーテルからの大動脈造影で,冠動脈に流入する造影剤を利用する方法であった.冠動脈に造影剤を注入しても危険がないことを偶然知ったSonesは,専用のカテーテルを開発してシネフィルムに記録する一連の検査法を確立した.
* 当時同じ施設で仕事をしていたAlbert Bruschkeによると, 第1例の成功から論文発表まで4年を要した理由は,Sonesが慎重を期して症例を蓄積したこと,著しく多忙であったことに加え,dyslexiaの傾向があり文章の読み書きに困難があったためだという[18].
この論文には写真が掲載されていないが,その後この方法を様々な臨床例に応用した多数の論文に症例が供覧されている(図14). 35mmカメラの記録なので空間分解能には限界があるものの十分診断可能な画質であるが,動脈のカットダウンが必要であり,一般的な臨床検査として普及するには,1967年,Judkins, AmplatzらによるSeldinger法による冠動脈造影の登場を待つ必要があった.
図15. 左右それぞれの冠動脈用にプリシェープしたカテーテル.現在もJudkins型カテーテルとして使われている.
図16. 左冠動脈造影.現在と同程度の良好な造影が得られている.
【要旨】8Fポリウレタン製ステンレスワイヤメッシュ入りのDucorカテーテル(Cordis社)を,左右それぞれの冠動脈の挿入に適した形状にプリシェープしたものを使用する.ガイドワイヤは,Cook社のセーフティJガイドを使用する.大腿動脈をSeldinger法で穿刺し,左冠動脈に挿入するには,左冠動脈用の弯曲の強いカテーテルを大動脈弓まですすめてガイドワイヤを抜去し,押しながら進めることによりカテーテル端が冠動脈口に落ちこむ.右冠動脈の場合は,右冠動脈用の弯曲の浅いカテーテルをValsalva洞のやや上方に置いて180°回転させると冠動脈口に落ちこむ.造影剤6~9ccで,複数方向から何回か撮影する(図15).
カテーテルのサイズはそれぞれ3種類あり,症例に応じて使い分ける.造影剤は,Renografin (ウログラフィン)を使用し,一過性徐脈を除く不整脈は発生していない. 本法により冠動脈疾患が疑われる100例に冠動脈造影を行ない,全例で両側冠動脈へのカテーテル挿入に成功した(図16).本法は,レジデント,スタッフ,実地の血管造影医にも容易に習得できる.
【解説】Judkinsは,オレゴン大学でDotterとともに血管造影,IVR(画像化治療法)を開発した放射線科医.Seldinger法により経皮的,経大腿動脈的にカテーテルを冠動脈に選択的に挿入する,現在にいたる標準的な冠動脈造影法を確立した論文である.必ずしも初報とはいえず,この6年前にRicketts & AbramsらがSeldinger法による冠動脈造影を,動物実験と少数の臨床例について報告しているが[19],実用的なカテーテルやガイドワイヤがなかったためほとんど顧みられなかった.またこの翌月の同じRadiology誌に,ミネソタ大学の Amplatz らもまた異なる形状のカテーテルによる選択的冠動脈造影を報告している[→原著論文].Judkins型カテーテルは現在も最も基本的な冠動脈造影カテーテルである.
当初, 従来の上腕動脈のカットダウンによるSones法とJudkins法の優劣について議論があったが,両者の関係は友好的で互いを高く評価していたという[18].ちなみに,Sones,Judkinsはそれぞれ米国心血管造影学会(Society of Cardiac Angiography and Interventions) の初代会長(1977),第2代会長(1978)をつとめている.
図17. (a)右冠動脈造影,(b)左冠動脈造影.
【要旨】ミネソタ大学病院,ヴァージニア大学病院では,特別に成型したカテーテルを使用し,経大腿動脈的カテーテル法により放射線科医が冠動脈造影を行っている.
カテーテル法による選択的冠動脈造影を行うには,大動脈起始部の解剖,特に3つのValsalva洞と冠動脈の関係を知ることが重要である.カテーテルの材質は,塑性記憶性,トルク伝達性に優れるものが必要で,両者をバランス良く兼ね備えたポリエチレン製が推奨される.左右の冠動脈それぞれにあわせて成型したカテーテルを用い,解剖学的条件にあわせてそれぞれ3つの異なるサイズのカーブを持つカテーテルを用意した(図17).経皮的に大腿動脈的にカテーテルを挿入し,カテーテルのサイズが適切であれば容易に冠動脈口に挿入できる.5分以内に挿入できない場合はその原因を考慮して適切な方法を講ずる.造影剤はRenografin (ウログラフィン)を6~12cc用手注入する.
【解説】Seldinger法による経大腿動脈的,選択的冠動脈造影法を報告した論文.本稿の1ヵ月前のRadiology誌(5月号)にオレゴン大学のJudkinsが同様の手技を報告している[→原著論文].冒頭に,大動脈起始部,Valsalva洞の解剖が詳述されている.技術的な記載はJudkinsと基本的に同じで,左右の冠動脈それぞれに適合したプリシェープのカテーテルを使用し,それぞれ3つの異なるサイズを用意している点も共通である.カテーテルの形状は,Judkinsのものとやや異なり基本的にJ型,フック状である.うまく挿入できない場合に,いかに成功させるかという技術的なアドバイスが詳述されている.本稿には実際の写真が掲載されていないが,この後 Amplatz らは多くの臨床応用例を報告している[22].
Amplatz型カテーテルは,現在もJudkins型と並んで広く使用されており,特に動脈硬化で血管に蛇行,石灰化が強い場合はAmplatz型が有用である.
出典
- 1. Castellanos A, Pereiras R, Garćia, A. La angio-cardiografía radio-opaca. Arch Soc Estud Clin 31:523-96,1937
- 2. Scott WG. The development of angiocardiography and aortography. Radiology 56:485-518,1951
- 3. Stewart WH, Breimer CW, Maier HC. Cineroentgenographic diagnosis of congenital and acquired heart disease. Am J Roentgenol 46:639-40,1941
- 4. Watson JS Jr, Weinberg S. A 35-mm unit for cinefluorography. Radiology 51:728-32,1948
- 5. Pereira-Caldas J. Artériographies en série avec l'appareil radio-carrousel. J Radiol Electr Med Nucle 18:34-9,1934
- 6. Moniz E. L'evolution de la technique de l'angiographie cérébrale. Progr Méd 46:1777-1781,1934
- 7. Axén O, Lind J. Table for routine angiography. Synchronous serial roentgenography in two planes at right angles. J Am Med Assoc 143:540-2,1950
- 8. Kerr WJ, Ruggles HE. Cardiac irregularities. Illustration of normal and abnormal mechanism of the heart-beat by moving pictures. Calif State J Med 19:380-1,1921
- 9. Scott WG, Moore S. Rapid automatic serializaton of x-ray exposures by the rapidography, utilizing roll film nine and one-half inches wide. Radiology 53:846-58,1949
- 10. Rousthoi P. Über Angiokardiographie. Vorläufige Mittelung. Acta Radiol 14:419-23,1933
- 11. Radner S. An attempt at the Roentgenologic visualization of coronary blood vessels in man. Acta Radiol 26:497-502,1945
- 12. Amplatz K. Technics of coronary angiography. Circulation 27:101-6,1963
- 13. Boerema I, Blickman JR. Reduced intrathoracic circulation as an aid in angiocardiography. J Thoracic Surg 30:129-42,1955
- 14. Arnuf G, Buffard P. Die Arteriographie der Koronarien mittels Azetylcholin. RöFo 92:115-29,1960
- 15. Lehman JS. Coronary arteriography. Am J Roentgenol 81:749-93,1959
- 16. Dotter CT, Frische LH. Coronary arteriography during induced cardiac arrest and aortic occlusion. Arch Int Med 104:720-9,1959
- 17. Kolte H. Arteriography of the aorta and its branches by means of the polyethylene catheter. Am J Roentgenol 64:196-213,1950
- 18. Bruschke AVG, et al. A half century of selective coronary arteriography. J Am Coll Cardiol 54:2139-44,2009
- 19. Ricketts HJ, Abrams HL. Percutaneous selective coronary cine arteriography. J Am Med Assoc 181:620-4,1962
- 20. Effer DB, Groves LK, Sones FM Jr. Endarterectomy in the treatment of coronary artery disease. J Thoracic Cariovasc Surg 47:98-108,1964
- 21. Ryan TJ. The coronary angiogram and its seminal contributions to cardiovascular medicine over five decades. Circulation 106:752-6,2002
- 22. Amplatz K, Anderson R. Angiographic appearance of myocardial bridging of the coronary artery. Investigat Radiol 3:213-5,1968