慶應義塾と放射線医学
- 初代教授 藤浪剛一 1
- 日本初の放射線科医
- 原著論文(ウィーン留学中に発表した8編)
- 骨盤骨折の症例報告
- 手根骨の骨化順序(1)(2)
- X線による胃の病態診断(1)(2)(3)
- 喉頭結核の光線療法
- 日本の近代医学史
- 関連文献
- 藤浪剛一の略伝
- 関連事項
- 藤浪剛一と放射線学会
- 藤浪家の人々
- 医史学者としての藤浪剛一
- 関連事項
- 藤浪剛一が育てた医史学者 大鳥蘭三郎
- 藤浪剛一と温泉学
- 関連文献
- 1931 《東西沐浴史話》入浴と風呂の歴史
- 1938 《温泉知識》温泉の歴史から医学応用まで
- 関連事項
- 月ヶ瀬温泉治療学研究所
初代教授 藤浪剛一 1
日本初の放射線科医
図1. 藤浪剛一(1880-1942).慶應義塾大学医学部放射線科学教室初代教授[1]
図2. 藤浪が示した放射線医学教室の綱領.
図3. 放射線医学教室の同門会「葆光会」由来.
図4. 藤浪の著書「れんとげん學」(1920年刊)は1943年まで版を重ねた名著であった.
慶應義塾大学医学部放射線科学教室の初代教授 藤浪剛一(ふじなみこういち) (1880-1942)(図1)は,岡山医学専門学校(現 岡山大学医学部)を卒業,同病理学教室,東京帝国大学皮膚科学教室,ついで北里柴三郎が設立した伝染病研究所を経て,1909年(明治42年),オーストリア=ハンガリー帝国のウィーン大学放射線科に留学した.当時のウィーン総合病院の放射線部門は,Eduard Lange教授の下,世界初の独立した放射線部門を創設したホルツクネヒト と キーンベックが率いる最先端の研究施設であった.藤浪はここで,8編の論文(→原著論文)を発表した.1912年1月に帰国,5月に日本初の放射線部門である順天堂医院レントゲン科長として迎えられた.当時すでに日本各地でX線の医学応用が試みられていたが,いずれも外科や内科の医師が片手間におこなっていたもので,藤浪は日本初の放射線科医であった.1920年,慶應義塾大学に医学部が創設されるにあたり,かつて伝染病研究所時代に知己を得た初代医学部長北里柴三郎の求めに応じて,慶應義塾大学医学部理学的診療科*1教授に就任し,日本初の放射線医学を専門に扱う教室が誕生した.
藤浪は,教室の綱領(図2)を明示するとともに,荘子に登場する葆光*2という言葉を使って教室員の心構えを示した(図3).以来,慶應義塾大学医学部放射線科学教室の同門会は「葆光会」と称して現在に至っている.藤浪の自宅の玄関には「葆光」の文字が扁額に掲げられていたという[29].
*1 理学的診療科:放射線医学以外にも,光線治療,温熱治療,温泉治療,マッサージなどを広く扱う診療科で,現在のリハビリテーション科の機能を合わせもつ診療科.その後創設された他大学医学部でもこれを標榜する科があったが,1950年3月,日本医学放射線学会の申し合わせにより放射線医学教室(診療科名は放射線科)に変更した.
*2「葆光」(ほこう,ほうこう)という言葉は,《荘子》の齊物論第二に由来する.
故知止其所不知,至矣 知は其の知らざる所に止まれば,至れり
孰知不言之辯,不道之道 たれか不言の弁,不道の道を知らん
若有能知,此之謂天府 もし能く知ること有らば,これをこれ天府という
注焉而不滿,酌焉而不竭 これに注げども満たず,酌めどもつきず
而不知其所由來,此之謂葆光 しかも其のよりて来たる所を知らず,これをこれ葆光という
知ることができない所(知の限界)を知ってそこに立ち止まるのが,最上の知である.
語られない言葉,道ならぬ道を知ることができるだろうか.
もしそれができれば,これは天府(自然の無限の宝庫)を持つ人である.
そこではいくら注いでも溢れることなく,いくら酌みだしても尽きることがない.
しかもそれがどこから来るのか本人にもわからない.この境地が葆光である.
葆光は,包まれた内なる光,覆い隠された光で,物理的な光に例えて智慧,道を意味しており,外に向けて主張する知ではく,内に秘めた絶対的な知を意味するとされる.藤浪は,これを「人類に幸福をもたらし慈悲を垂れる」ものとしているが, 目に見えない放射線の中に葆光を求め,医学への希望を託したものであろう.
藤浪は誰よりも早く毎朝7時には出勤して,精力的に研究,診療,教育に当たった.教室員,技師らには常に完璧を求め,その指導はきわめて厳格であった.医局員はネクタイ着用,喫煙禁止,遅刻厳禁.読影報告書は一字一句訂正し,X線治療にあたっては初回照射はすべて自ら行なったという.論文指導を受けた教室員の多くが,ほとんど原文をとどめないほど修正されて草稿が真っ赤になったと述懐している.放射線技師も,良い写真がとれないと何度も再撮を命じられた.その一方で,ひとたび仕事を離れると情に厚く,個人的に面倒見の良いことでも知られた.このため藤浪を慕って全国から教室を訪れる医師,研究者が引きも切らず,慶應義塾在任22年間に学内外から参集した教室在籍者は321名を数えこの間に藤浪の指導を受けた中には,学内各科の教授となった前田和三郎(整形外科),石田二郎(呼吸循環器内科),大鳥蘭三郎(医史学),他大学の放射線科教授となった後藤五郎(京都府立医大),平松博(金沢大,富山医科薬科大),玉木正男(長崎大,大阪市大),本島柳之助(東京医大)らがおり,日本の放射線医学の基礎作りに大きく貢献した.
また藤浪は1923年に日本初の放射線関連学会「日本レントゲン学会」(後の日本医学放射線学会)(→関連事項)を創立し,その後も理事,会長などとして日本の放射線医学の発展に尽力した.
教授在任中には,400篇以上の論文 を著わし,その内容は放射線医学,温泉医学,医史学まで多岐に及ぶ. 藤浪の著書 は多いが,特に1920年に著した「れんとげん學」(図4)は,放射線物理学の基礎から当時の最先端の治療学,診断学まできわめて詳細かつ実際的に記されており,1943年まで数回の改訂,増補を重ねた名著であった. 次第に戦争の色が濃くなり教室員の応召,戦死が続く1942年11月29日,心筋梗塞にて急逝した[1-7].
【略歴】
- 1880年 名古屋市に生れる
- 1887年 愛知県立師範学校付属小学校入学
- 1893年 愛知県立第一中学校入学
- 1896年 上京,獨逸学協会学校(現 獨協中学校・高等学校)入学
- 1901年 岡山医学専門学校入学
- 1906年 同上卒業,病理学教室に入局
- 1907年 東京帝国大学医学部皮膚科(土肥慶蔵教授)入局
- 1908年 伝染病研究所(北里柴三郎所長)助手
- 1909年 ウィーンに留学,放射線医学を研究
- 1912年 帰国,順天堂医院レントゲン科長
- 1915年 医学博士(東京帝国大学)
- 1920年 慶應義塾大学医学部教授(理学的診療科)
- 1920年 「れんとげん学」出版
- 1921年 欧州遊学,翌年帰国
- 1923年 日本レントゲン学会設立に参画,幹事
- 1927年 日本医史学会設立,理事
- 1930年 日本温泉協会設立,理事
- 1933年 日本放射線医学会設立,第1回会長
- 1933年 ウィーンレントゲン学会名誉会員
- 1935年 日本温泉気候物理医学会設立,理事
- 1937年 第4回日本放射線医学会会長
- 1937年 オーストリア放射線学会名誉会員
- 1939年 日本温泉科学会設立,理事(1941年より副会長)
- 1940年 日本医史学会理事長
- 1942年 第2回日本医学放射線学会会長(病臥のため原邦郎講師が代行)
- 1942年 病没
原著論文(藤浪剛一がウィーン留学中に発表した8編)
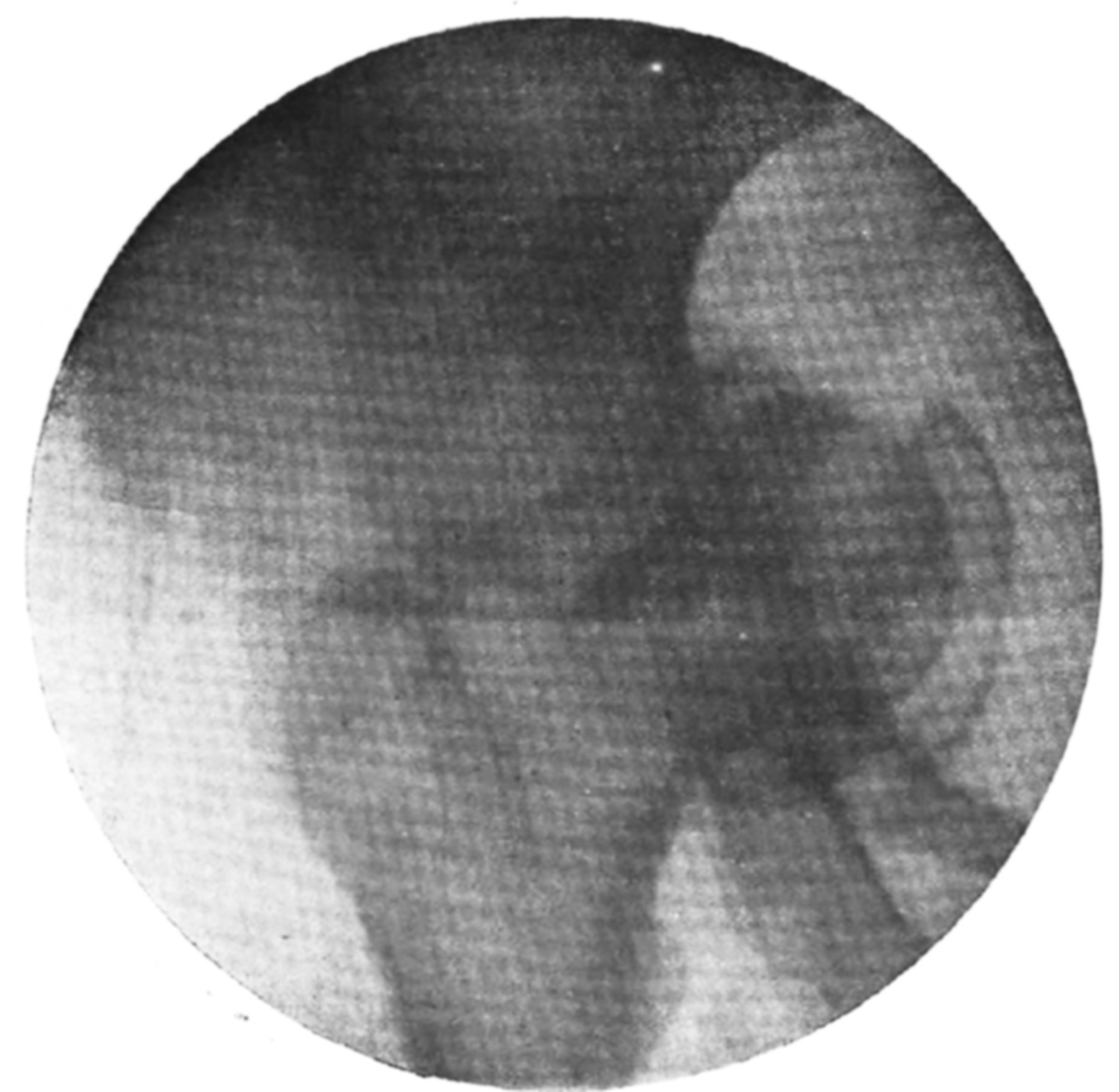
【要旨・解説】この論文の前に,Dr. J. Robinsohns なる人物により,レントゲン診断に馴染みの薄い一般読者を対象に,レントゲン画像の成り立ち,撮影法,解釈法の基本を説明し,レントゲン所見から病態にどこまで迫れるかを論ずる,という前置きがあり,通常の順序とは逆にレントゲン像を提示して,その後に診察所見や病歴を供覧するとしている.本論文はこれに沿った例示となっており,いわば「依頼原稿」 のような形であり,渡独したばかりの藤浪の手始めの仕事として与えられたものだったのではないかと推測する.ちなみに,指導者のKienböckの処女論文も股関節脱臼のX線診断に関するものであった.
内容は,中心性股関節脱臼の症例報告の形で,大腿骨頭と寛骨臼の立体関係をX線写真でどこまで把握し,それを臨床判断に還元できるかという問題に力点が置かれている.供覧されている写真の画質は必ずしも良いとは言えず,これ1枚で病態を正確に把握することは確かに難しいと思われるが,現在のCTと同じような解剖学書の軸位断の図を引用しつつ臨床的意義を論じている点は注目に値する.画像所見に引き続く現症,病歴の記述は,現在からみるとかなり奇異に思えるが,当時の臨床状況を伝えるものとして興味深い.

【要旨・解説】手根骨の正常骨化順序の検討.約200例の正常小児のX線所見をもとにした分析.記載されている骨核出現時期は,現在の教科書にみる骨年齢表とほとんど変わらない.藤浪は帰国後,足根骨についても同様の研究を行っている[藤浪剛一,深堀清彦:足根骨の化骨期に就てのレントゲン研究成績 中外医事新報 939号,1919年]
【要旨・解説】正常例を分析した前報に続き,くる病42例について,手根骨の骨核の出現時期を検討している.内18例は文献によるもので,メタ分析となっている.当時,くる病では骨化の遅延はないという説もあったが,遅延があること,年齢が進むにつれて顕著になることを示している.

【要旨・解説】まだ二重造影法が開発されず,充盈法が主たる検査法であった当時は,胃造影検査でも胃粘膜病変の直接所見を得ることは難しかったが,幽門狭窄は充盈法でも比較的容易に観察できる病態であったためか,かなり詳しく研究されている.幽門の通過障害がある場合,胃癌などの器質的狭窄と,幽門痙攣のような機能性障害の鑑別が問題となるが,本論文はそのような幽門狭窄の評価をX線不透過性カプセルを服用させ,これが胃内にとどまるか,排出されるかを観察して鑑別する方法を論じている.
胃癌による明らかな器質的狭窄があるにも関わらずカプセルが幽門を通過した例を挙げ,カプセルが変形して狭窄を通過する可能性について考察し,カプセルの物理化学的性状を論じて,胃液内でも変形,溶解しにくいグルトイドカプセルが適していると述べている.残念なことに,なぜか実際にカプセルがうつっている写真は掲載されていない.

【要旨・解説】胃内の胃液量を知る方法として,ビスマスを含み胃内で沈降するカプセル,空気を含み浮遊するカプセル,2種類を投与し,両者の位置関係を透視下に観察する方法を提案した論文.論題にもあるように,空虚胃内に胃液が過剰に存在する異常な状態をParasekretionと称し,2つのカプセルの垂直距離から胃液量を推定し,30mL以上を異常としている.現在でも50mL程度を正常上限とする場合が多いので概ね妥当といえよう.
さらにこの方法を,従来のX線造影検査に組込むことにより,病態の診断法を論じている.特に15例の症例について,症状と検査所見が詳細に記載されているが,その記載をみると現在とはまったく異なる臨床診断法を垣間見ることができて興味深い.この中で過剰胃液分泌と運動機能障害の因果関係について論じられているが,これは後続論文に連なる視点である.
なお藤浪は帰国後,1915年に本論文をもとにした「空虚なる胃中に於て液分泌を認定する簡易なる《レントゲン》檢査法に就いて」を主論文,留学中の他の6編の論文を副論文として東京帝国大学から医学博士の学位を授与されている.
Deutsch Arch Klin Med. 105:449-459,1912
【要旨・解説】充盈法による形態学的診断に限界があった当時,胃X線造影検査における胃の機能的診断に大きな比重が置かれていた.この論文も,前2編の論文を背景として,胃の幽門痙攣,胃液の過剰分泌,運動機能障害(排泄遅延)といった機能的な病態を,胃造影X線検査所見から理解しようとする試みである.
幽門痙攣(による通過障害)はそれ自体として発生するという当時の一般的な考え方に対して,これが運動機能障害による胃内容の停滞,過剰胃液分泌といった現象の二次的な結果として起こりうるかということを臨床実験的に検討している.まず通常の立位と,胃内容が停滞しにくい右側臥位で胃の残渣量を比較し,基本的に大きな差がないことから運動機能障害の影響は少ないと思われた.ついで,1Lの水を飲水させることにより胃液の過剰分泌を模して比較したところ,胃の排泄時間が約20%遅延した.従って,胃の過剰分泌が幽門痙攣による通過障害の原因でありうることが示唆された.
この結果の解釈や診断ロジックは現在からみる理解しがたい点があるが,この論文の指導者,Guido Holzknechtは胃透視所見をもとにしたいわゆる「症状群」 (Symptom-Komplex)による胃疾患の診断を確立したヨーロッパ学派の先導者で,その独特な方法論は本論文と同年に発表された彼の代表的な論文に詳述されており,藤浪の先行論文をふくめ本論文もその一連の研究の中に位置づけられたものであることを知れば理解しうる.

【要旨・解説】藤浪のウィーン留学中の著作中,光線治療を扱った唯一の論文である.太陽光線の疾病治療への利用18世紀後半から試みられていたが,1893年にデンマークのフィンゼン(Niels R. Finsen, 1860-1904)がカーボンアーク灯による人工光の放射装置,いわゆるフィンゼン灯を発明してこれによる皮膚結核の治療に成功,1903年にノーベル生理学医学賞受賞を受賞した.その後,皮膚のみならず口腔や喉頭結核にも有効とされた.
本論文は,フィンゼン灯に工夫を加え,集中光線ではなく平行光線を喉頭に照射する専用装置を紹介したものである.しかし,レンズを利用したとあるものの,装置の構造については記載がなく詳細不明である.藤浪自身の治療成績についても,すでに相当数を治療したものの結論を述べるには至っていないとして,全体的な有効性を示唆するにとどまっている.
藤浪は帰国後も,X線にかぎらず,光線一般,温熱などに幅広い関心を示し,その知識を光線療法,温泉療法などの研究,診療に生かしている.
【要旨・解説】藤浪がウィーン留学中にスイスの医学雑誌に掲載された日本の近代医学史の紹介記事である.どういう経緯で書かれたのかわからないが,留学先の師の奨めによるものだったのかも知れない.帰国後の藤浪は医史学者としても多くの著作を残しているが,欧文のものはこれが唯一である.
前半は16世紀以後の西洋医学の渡来,特に江戸時代の医学書翻訳の状況を述べ,後半は明治時代の医学教育,病院事情を紹介している.最後に西洋との距離,言語の隔たりが日本の医学の発展の難関となっていることを嘆じ,将来への抱負で締めくくっている.
関連文献
【要旨・解説】本稿は,藤浪剛一の追悼録の冒頭に収録された藤浪の略伝である.著者の加藤一夫は,文学者,社会運動家であるが,本文中に詳述されている通り,若くして藤浪の知己を得て,その後生涯にわたって経済的な援助を受け,藤浪は文字通りの恩人であった.医学,科学知識はないので,医学に関する内容は不正確な所が多いが,その生い立ちや人となり,医学以外の側面については興味深い記述が多い.
図5. 岡山医専時代の藤浪剛一(右).
藤浪が,自らの生い立ちを語った資料はほとんどなく,学生時代の記述は貴重である.非常に几帳面で,研究室も自宅も整理が行き届いていたという.藤浪の指導を受けた医局員はそろって,藤浪は非常に厳格で教室員への指導が厳しかったと述べているが,仕事を離れた藤浪は全く異なる側面を見せ,怒った顔を見てみたいと言われるほど温和で,何かと親身に世話を焼く気遣いの人であった.このことは教室員を含め多くの人がしばしば述懐しているが,藤浪のそのような側面がここに良く描かれている.厳しい教育も,良い弟子を育てるための愛情と熱意の産物であった.藤浪がいつ,どういう経緯で放射線医学に興味を持ったかについては本人の言がないが,ここにその一端を垣間見ることができる*.
* 追悼録の別項で,伝染病研究所で藤浪と共に学んだ竹内松次郎(細菌学者)は,次のように記している「剛一博士は,伝染病研究所の講習をも修了せられて他へ移られ,外国留学前に,既に将来の専攻科を「放射線学」と決定せられ,夫々予備の諸学科(例えば理科大学にて物理学)を学修せられまして,明治42年2月に欧州に向かって留学の途に上られ,墺国維納にて放射線学を専攻せられ……」.つまり藤浪は早くから放射線医学を志し,準備万端整えて渡欧したことがわかる.その背景として, 1907年,藤浪が帝国大学皮膚科学教室入局時に師事した土肥慶蔵教授は,外科学教室のスクリバから譲り受けたX線装置で,1905年から皮膚疾患の治療を試みていた.藤浪はここで放射線医学に関心をもった可能性が大きい.なお 土肥慶蔵は,藤浪剛一の兄 藤浪鑑の親友で,日本の皮膚科の祖とされる人物で皮膚科全般にわたり数々の功績があるが,生涯を通じてX線治療,ラジウム治療に強い関心をもって数々の論文を著し,その後藤浪とともに医理学療法雑誌の創刊(1914年),日本レントゲン学会の創立(1923年)などにも参画した.
藤浪の古医書収集については,単なる興味本位の収集癖ではなく,その背景には自らが伝統ある医家の出身で,幼少期から先哲の肖像,遺訓に接して育ったこともあり,先達への敬慕の念がよるものであったこと,掃苔の趣味もこの延長上にあったことがわかる.
経済的には余裕があったようで,金銭的なことは具体的には触れられていないが,著者の加藤を初めとして他者の扶助を厭わず,掃苔活動などには私財を投じ,稀覯書の貸出にも鷹揚であったと語られている.
関連事項
藤浪剛一と放射線学会
図6. 1923年発刊の日本レントゲン学会雑誌第1号の表紙.日本初の放射線関連学会雑誌であった.
図7. 真鍋嘉一郎(東京帝国大学物療内科教授).第12回日本レントゲン學会会長就任をめぐって紛糾,学会が分裂した[9].その後,日本醫學放射線學會の初代会長をつとめた.
図8. 1941年,分裂した学会が再統合され日本醫學放射線学会が成立した.現在に至る学会誌の第1号の表紙.
藤浪剛一は,現在の日本医学放射線学会につらなる一連の放射線関連学会の設立,運営にあたって,常に中心的な役割を果たした.
・日本レントゲン学会
藤浪は,ウィーンから帰国した翌年の1913年,東京帝国大学整形外科の田代義徳らと共に「レントゲン研究會」 を創始した.毎月1回,火曜日の午後6時から8時まで開催されたが,会則には「研究的態度にて形式を避け,互いに胸襟を開き質疑応答することを目的とする」と謳われており,現在も全国で催されている様々な画像研究会の嚆矢とも言える.1914年11月には,日本初の放射線医学雑誌「醫理學療法雑誌」が発刊された.南山堂から発売され,編集者は藤浪剛一の他に肥田七郎(陸軍軍医学校)の名前があるが,事実上その藤浪の個人編集であった[8].
レントゲン研究会は1918年頃まで続いたが,自然消滅的に中断してあらためて正式な学会の開催が待望されていた.そこで1923年,藤浪は日本初の放射線関連学会「日本レントゲン學會」を創立した.中心となったのは藤浪のほか,肥田七郎(陸軍外科),真鍋嘉一郎(東大物療内科),田代義徳(東大整形外科),金子魁一(東大整形外科)らで,機関紙は,「醫理學療法雑誌」 を「日本レントゲン學會雑誌」(図6)に変更して継続した.第1回会長には田代義徳が選出された.その後毎年開催されて演題は着実に増加し順調に発展した[8].
藤浪は日本レントゲン学会の創設に尽力したが,その後はやや距離をおいていたようで,途中から評議員名簿にも名前がない.この辺りの事については,当時教室員であった後藤五郎(その後京都府立医科大学放射線科教授)が後に次のように回想している.「(藤浪)先生は,福澤諭吉先生の独立自尊の精神を謳歌され,官尊民卑の弊をよく口にされ,諭吉張りの和服姿が板に付いた町人風の風格を持っておられた.当時学会を支配していた一派に対する造反精神を持ち,学会内で自ら孤高の姿勢を持ち続けられた観があった.日本レントゲン学会幹事会や評議員会にも殆ど出席されず,学会講演会にも後方の席に風の如く入り,風の如く出て行かれた.学会雑誌とは別個に専門雑誌「実践醫 理學」を発行し,教室業績は「慶應醫理學叢書」に発表し,学会雑誌には余り投稿させられなかった」[12].
・学会の分裂 - 日本放射線医学会
1933年4月,第11回日本レントゲン學會総会で事件が発生した.評議員会で次期会長に真鍋嘉一郎(東京帝国大学物療内科)* (図7)が選出されたが,これを決議する総会で内科を標榜する者が会長となることに異議が唱えられた.実際,レントゲン學會の会長は,第1回から第9回までは,整形外科,外科,内科,皮膚科の教授がつとめており,ようやく第10回の浦野多門治,第11回の斎藤大雅が京都帝国大学レントゲン科という状況であった.ここに来て,また内科の真鍋が会長となることに対する異議であった.しかし会長がこれを採り上げず議事を進行したため,一部の会員が会長の横暴を叫んで退場,その後会場の入口に垂れ幕を掲げてデモ活動を行なうなど大混乱となり,結局24名が除名となった[9-11,13].この時,藤浪は評議員に名を連ねておらず除名もされていないが,反対派と主張を同じくする立場にあった.
* 真鍋嘉一郎 (1876-1941).1904年東京帝国大学卒,内科医であったが初期から放射線医学,理学療法の研究,臨床に携り,物療内科を標榜しながら放射線医学の発展に大きく貢献した[9].名医の呼び声高く,大正天皇の侍医をつとめ,学生時代に英語を教わった夏目漱石の信頼厚い主治医としてその最後を看取ったことでも知られる.
同年6月,放射線科医を中心とする「日本放射線醫學會」 が成立,発起人会には462名が名を連ね,第1回会長には藤浪が選出され,学会事務局は慶應義塾大学理学的診療科内におかれることになった.学会誌も「日本放射線醫學會雑誌」が新たに刊行された(図8).かくして,「日本放射線醫學會」 と「日本レントゲン學會」 が併存する分裂状態となった(→日本レントゲン学会分裂・統合の経緯).この状態はこの後8年にわたって続き,藤浪は第4回日本放射線醫學會の会長もつとめている.後にこの間の事情を,後藤五郎は次のように語っている.「同学の士の中には学会の分立を甚だ遺憾とし,合同を希望するのも多く,メンツ上振り上げた拳骨のやり場に困っている状態もないではなかった.旗幟鮮明なものは相手学会に顔が出せず,中立の者は双方に引張り凧になって会費は2倍,旅費は嵩んで甚だ不都合であった.事実親爺同志が喧嘩して,子供同志は案外楽しく集まっていた」[13].
・学会の再統合 - 日本医学放射線学会
1938年,第5回日本放射線醫學會(会長後藤五郎,京都府立医科大学)と第16回レントゲン學會(会長岩井孝義,京都帝国大学放射線科)が合同で開催され,歩み寄りがはかられ,1940年4月の第7回日本放射線醫學會で再統合が決定,ここに「日本醫學放射線學會」 が誕生した.1941年4月に第1回総会が開かれ,会長は分裂騒動の時に指名された真鍋嘉一郎が選出された(→ 放射線関連学会歴代会長).学会誌はあらたに「 日本醫學放射線學會雑誌」(図7)が創刊された.
1942年の第2回日本医学放射線学会長は学会創設時,既に藤浪剛一に決まっていた.しかし4月の総会時,藤浪は心筋梗塞を患って病臥のため原邦郎講師が代行し,同年11月病没した.これ以後,日本医学放射線学会会長は原則としてすべて放射線科医となった.日本医学放射線学会は,以後めざましい発展を遂げ,日本の放射線医学の発展を支えて現在に至っている.藤浪はまさに,自ら創始した日本の放射線学会の完成を見届けて世を去ったのであった.
藤浪家の人々
図9. 藤浪家の人々
a. 長兄 藤浪鑑 [23]
b. 藤浪修一. 鑑の長男[26]
c. 藤浪得二. 鑑の次男,剛一の養子[27]
d. 妻 和子.旧姓物集和 (許可を得て転載)[21].
藤浪家は華岡流外科の流れを汲む医師の家系で,祖父萬徳,父萬得は尾張藩の侍医を代々つとめた.父 藤浪萬得(1842-1915)は五男二女をもうけ,剛一は第五子,四男であった[7].
長兄 藤浪鑑(あきら)(1871-1934)(図9a).1895年に東京帝国大学を首席卒業,病理学教室に入局.翌年ドイツに留学,4年間の滞在中 Rudolph Virchow,Friedrich von Recklinghausen らに学んだ.剛一が卒業後まもなくウィーンに留学したことは,この兄の留学の影響もあったらしい.1900年帰国,京都帝国大学病理学教室の最年少の初代教授に任じられ,特に日本住血吸虫症の病態解明,ウイルス性発癌のモデルとなる家鶏肉腫(藤浪肉腫)の研究に大きな功績を残した*.1918年 帝国学士院賞,1929年 帝国学士院会員,1931年 京都帝国大学名誉教授[2,20].
鑑の長男 藤浪修一(図9b),満州医科大学教授を経て,名古屋市立医科大学第二外科学の初代教授をつとめた(在任1948-67).放射線医学についても,消化管のX線診断,腹腔造影などに関する研究を多く残している.次男 得二は後述のように剛一の養子となり,長女 和子は京都大学病理学教授森茂樹に嫁いでいる[20].
* 1909年,藤浪鑑は,日本住血吸虫の感染経路が,従来主張されていた経口感染ではなく経皮感染であることを動物実験で示し,その予防策は大きく進歩した.1911年,家鶏の肉腫が移植できることを証明し,これは初の発癌ウイルスの発見であった(藤浪肉腫).同年,アメリカの病理学者ラウス(Francis Peyton Rous, 1879-1970)も独立して家鶏に同様の発癌機序を報告した(ラウス肉腫).ウイルス発癌説は長らく疑問視されていたが,その後これがRNAウイルスによるものであることが証明され,ラウスはその功績に対して1966年にノーベル生理学医学賞を受賞した.これは研究発表から受賞までの最長記録であるが,この時藤浪は既に没しており,存命していれば同時受賞していた可能性が高い.
妻 藤浪和子(1888-1979)(図9d).旧姓物集(もずめ),本名は和(かず).父は国学者の物集高見,兄に国文学者の物集高量,姉に探偵小説家の大倉燁子がいる.10歳の頃から二葉亭四迷,夏目漱石らに師事.跡見高等女学校卒.1910年から作品を発表,1911年には平塚らいてうの青鞜社に所属して女性解放運動にも加わった.藤浪剛一と結婚後(結婚年不詳),聾教育振興会(現 聴覚障害者教育福祉協会)の幹部として聴覚障害者の福祉に携わった.また藤浪の趣味である掃苔(歴史的人物の墓所を訪ねて顕彰する)が高じて組織した東京名墓顕彰会の活動を手伝ううちに自らも興味を持つようになり,1940年に「東京掃苔録」を著した[21].
養子 藤浪得二(1910-1977)(図9c) .剛一には子供がなかったため,1934年に長兄 藤浪鑑の死去に際して,当時京都大学皮膚科助手であったその次男 得二を養子とした.1956~73年 大阪大学皮膚科学第4代教授,1973~77年 兵庫医科大学皮膚科学初代教授をつとめた[22].
医史学者としての藤浪剛一
藤浪は,江戸時代から続く医家の生れであることもあって,日本の古い医学に関心が深く,古医書の蒐集につとめていた.1923年の関東大震災でその多くが焼失したものの,その後も蒐集を続け,「乾々斎」(けんけんさい)と称する自宅の書庫には6千冊以上の書物が収納されていた.妻和子によると,書物への愛情は著者の学問に対する敬慕の念に発するもので,単なるもの好きではなかったという.藤浪は入手した古書が傷んでいると製本し直し,また年一回は曝書するなど書物の扱いがたいへん丁寧であった.研究者垂涎の稀覯書も多かったが,藤浪は決して私蔵することなく,希望する研究者には借用証もとらずに気軽に貸し出した.この「乾々斎文庫」の目録は藤浪の死後に妻和子によって「乾々斎架蔵和書目録」(1943) にまとめられたが,すべて武田薬品(現 武田科学振興財団,大阪市)の運営する古医書文庫 杏雨書屋 (きょうう しょおく)に移管され ,研究者に広く供されている*.
* 当時の宮島幹之助(北里研究所副所長)から北里文太郎(北里柴三郎の庶子)宛ての書簡に,「慶大医学図書館内に医史学研究室が設けられ故藤浪博士の遺志を発展させたいと色々工夫してゐます.故人の心血を注いで蒐集された貴重の資料は是非我図書館に獲得したいと努力しつゝあります」(1943年7月14日).「故藤浪博士の蔵書は悉皆未亡人が大阪武田へ売られたので,残念千万何とか北里記念医学図書館に買戻したいと目下大に努力してゐます」(同8月10日) とある[28].
1927年,日本医史学会創立に当たっては,発起人のひとりとしてまた理事として活躍した.学会誌としては,1880年創刊の中外醫事新報(中外醫事新報社)を利用することとし,その直後より自らの蒐集資料を駆使して数々の医史学論文をここに発表している.その内容は,初期には温泉治療の歴史に関するものが多いが,その後は江戸時代の医学,医制の研究に及んでいる.
図10. 醫家先哲肖像集(1936).山脇東洋の肖像と略歴を記した頁.
1936年に著した 醫家先哲肖像集 は,奈良時代から江戸時代まで,歴史に名が残る医師165名についてその略歴,肖像を見開き2頁に記載した貴重な著作である(図10).その冒頭に述べているように,医家の家に生まれ医師であった祖父や華岡青洲の肖像などを折りにふれて見て育った藤浪は,先達の肖像に尊重愛惜の念をもつようになり,肖像なき伝記はその人物の全貌を伝えないとも述べている.若い頃から収集していた資料は,1923年関東大震災の火災でその全てを失ったが,その後収集を再開し,またいつ失うことがあるかも知れないという思いからたまとめたものであった.
藤浪の趣味のひとつに歴史上の人物の墓所を訪ねてその来歴を研究,顕彰するいわゆる掃苔(そうたい)活動があり,医家の墓碑研究に関する論文もある.1940年に没した富士川游の後任として日本医史学会理事長に就任すると,学会誌名を「日本医史学雑誌」とあらため,数々の改革を加えて医史学への関心を喚起して会員数増加に尽力して現在にいたる日本医史学会の基礎を確立した.晩年には医学史の新著の計画を語っていたらしいが,実現を前に他界したことは悔やまれる.
藤浪門下の異色の教室員に,後に本学教授として医史学を講じた大鳥蘭三郎がいる.慶應義塾大学医学部では,1920年の開学当初よりすでに正課として医史学の講座を設け,医史学の泰斗 富士川游がこれを講じていたことを藤浪は誇りとしており,藤浪がこれを継ぎ,1945年からは大鳥蘭三郎が講義を担当した.現在の医学部のカリキュラムに医史学はないが,これも時代の流れとしてやむを得ないところであろう[14-18].
関連事項
藤浪剛一が育てた医史学者 大鳥蘭三郎
図11. 大鳥蘭三郎(1908-96) [16]
医史学の分野でも数々の著作を残した藤浪剛一の功績の一つに,その後の日本を代表する医史学者大鳥蘭三郎(図11)を育てたことが挙げられる.大鳥蘭三郎は1932年に慶應義塾大学医学部を卒業したが,健康上の理由から進路に迷っていたところ,藤浪剛一が医史学の研究をすすめ,理学的診療科の教室員として迎えいれた.大鳥は放射線医学の仕事は免じられ,藤浪の指導の下,医史学の研究に専念した.処女論文は「我が国医学に使用せらるる解剖学語彙の研究」であった.その後オランダ語を独学で習得し,生涯を通じて日本医学の外国との交渉史の研究に多くの業績を残した.特に「蘭館日誌の医史学的研究」はそのライフワークの集大成として高い評価を得た.藤浪没後の1945年には医史学研究室の専任講師,1966年からは教授として長年にわたって医史学を講じた.1973年の定年退職後も日本医史学会長,同理事長として日本の医史学会を主導した.妥協を許さない真摯な学者であったが,私的な面では常に他を思いやる温厚かつユーモアに富んだ性格で,後輩,学生に慕われた[14-17].
【略歴】
- 1908年 オランダのハーグ市の日本公使館で生まれる.名前の「蘭」はこれに因む.
- 祖父は明治の元勲で医師,科学者でもあった大鳥圭介,父は外交官の大鳥富士太郎.
- 出産に立ち会った医師のひとりに,幕末の日本に西洋医学を伝えたことで有名なポンペがいたという.
- 1歳半で帰国,その後慶應義塾幼稚舎,普通部,大学医学部に学ぶ.
- 1932年 慶應義塾大学医学部卒業,理学的診療科(藤浪剛一教授)助手,医史学の研究を開始.
- 1945年 慶應義塾大学医学部専任講師(医史学).以後1983年まで医史学の講義を担当.
- 1960年 医学博士
- 1962年 日本医師会最高優功賞
- 1962年 第63回日本医史学会長
- 1966年 慶應義塾大学医学部教授
- 1966年 慶應義塾賞
- 1972年 第14回蘭学資料研究会長
- 1973年 慶應義塾大学を定年退職,客員教授(~83年)
- 1974年 東海大学医療技術短期大学教授
- 1976年 野口英世記念医学賞
- 1977年 オランダ政府オランエ・ナッソー勲章
- 1979年 第80回日本医史学会長
- 1984年 日本医史学会理事長
- 1991年 日本医史学会名誉会長
- 1996年 病没
藤浪剛一と温泉学
藤浪は,初期から温泉療法に大きな関心をもち,温泉学に関する論文を数多く残している.その内容は,温泉の歴史,発達を論じたものから,物理化学的な分析,医学的効用の研究,さらに一般向けの温泉地案内,入浴法の指導まで多岐にわたる.理学的診療科は,放射線以外に水治療,温泉療法なども積極的に取り入れていたことから,これに関する教室員の研究も多い.1930年に日本温泉協会,1935年に日本温泉気候学会,1939年には日本温泉科学会の設立に関わっている.1938年に出版された著書 「温泉知識」は,それまでに発表された論文を集め補足したもので,藤浪の温泉研究の総括であると同時に,当時の温泉学を鳥瞰する内容で,全国温泉の基礎データ,江戸末期から昭和初期までの温泉関係の研究文献一覧も収録され,その後の温泉研究の礎となった[3,19].
1941年,大学附属研究施設として月ヶ瀬温泉治療学研究所の設置が決まり,藤浪はこの計画に参画していたが,翌年急逝したため,実際に研究が行なわれたのは1946年以降,第2代春名教授の時代になってからであった.
関連事項
月ヶ瀬温泉治療学研究所
図12. 当時の月ヶ瀬温泉治療学研究所.手前は狩野川[24].
図13. 藤巻時男助教授.月ヶ瀬温泉治療学研究所の開設,運用にあたると同時に,気象医学の研究でも業績をあげた.狩野川台風による罹災時には,専門的な判断から全員を無事に避難させた[1].
1941年,大学附属研究施設として,静岡県の田方郡の月ヶ瀬(現 伊豆市月ヶ瀬)に,月ヶ瀬温泉治療学研究所が設置された(図12).慶應義塾出身で現地で温泉業を営む福島行信,小島兼太郎両氏から寄贈された土地,建物を利用したもので,狩野川が2本に分岐する島状の三角州に位置する約3,200坪(1万m2)の敷地で,温泉湧出口が2ヵ所あった.泉質は,43℃,pH8.6,芒硝(Na2SO4・10H2O)を主成分とするアルカリ性単純泉であった.研究所開設にあたっては,放射線科の藤巻時男助手が尽力,翌年藤浪剛一教授が急逝して計画は一時滞ったが,1945年3月に診療を開始した.
1946年,所長に呼吸器内科の石田二郎教授,研究顧問に放射線科の春名英之教授を据え,所員は主に外科,内科から派遣され,放射線科からは藤巻時男(図13)が主任として,新野稔らとともに管理,研究にあたった.この温泉は,創傷,リウマチ,慢性胃腸障害,全身衰弱に卓効があるとされ,特に痔核,痔瘻の治療に力が注がれ,現地での手術と温泉浴の併用は優秀な成績をおさめた.患者数は多くほとんど満床で,毎日20余名もの手術を行なった.また,気象が健康,疾病に及ぼす影響に関する気象医学の研究も特色の一つで,気象台の援助を得て気象観測所を備え,藤巻が中心となって研究が進められた.
しかし1958年9月,台風22号(狩野川台風)による狩野川の氾濫で,研究所はすべて流失し,廃止のやむなきに至った.罹災時,藤巻時男(当時助教授)はその気象学の知識をいかし,自ら描いた天気図と気象観測データから事前に危険を予知して,流失1時間前に所員と患者全員を高台の公民館に避難させて事無きを得たが,カルテや研究資料はすべて失われた[24,25].
その後長らく閉院されていたが,静岡県による狩野川護岸工事に伴う代替地としてその上流域の廃川敷地を得て,1977年に月ヶ瀬リハビリテーションセンターが開設された(2011年閉院,現 伊豆慶友病院)[24].
出典
- 1. 葆光七拾年.葆光会(慶應義塾大学医学部放射線科).1990
- 2. 藤浪剛一先生50年祭記念講演会プログラム.1992
- 3. 大鳥蘭三郎.故藤浪剛一先生略歴および病歴.日本医史学雑誌 1315:217-9,1943
- 4. 藤浪和子.藤浪剛一追悼録.1943
- 5. 大場覚.藤浪剛一が日本最初の放射線科教授になるまで.日獨医報53:155-164,2008
- 6. 玉木正男.日本最初の放射線科医,藤浪剛一.健康文化 5:1-3,1993
- 7. 放射線医学の草分け 藤浪剛一.岡山大学同窓会報 76,1994
- 8. 後藤五郎.日本医学放射線医学史考 明治大正編.日本医学放射線学会.1959
- 9. 後藤五郎.日本医学放射線医学史考 昭和編(1927-1945).第12回国際放射線医学会議.1960
- 10. 日本レントゲン学会雑誌 11:28-41,1933
- 11. 日本レントゲン学会雑誌 11:76-82,1933
- 12. 後藤五郎.わがレントゲン学を拓いた人々.日本医学放射線学会雑誌 34:321-40,1974
- 13. 後藤五郎.日本放射線医学発達史(思い出の寸描).日本医学放射線学会雑誌 23:387-96,1963
- 14. 大鳥蘭三郎.会長講演 医史学と私.日本医史学雑誌 25:151-6,1979
- 15. 大鳥蘭三郎.医史学と私.日本医史学雑誌 34:500-5,1988
- 16. 大鳥蘭三郎.半世の思い出.大鳥蘭三郎先生記念文集刊行会, 1982
- 17. 大村敏郎.大鳥蘭三郎先生の御経歴.日本医史学雑誌 42:411-3,1996
- 18. 酒井シヅ.日本医史学会の90年.日本医史学雑誌 64:385-6,2018
- 19. 後藤英二・今井英夫・伊東祐.日本温泉科学会25年の歩み.温泉科学 16:154-162,1966
- 20. 杉立義一. 藤浪鑑の医史学的検証.附 藤浪肉腫ウイルス・遺伝子の研究.日本医史学雑誌43:3-26,1991
- 21. 森まゆみ.断髪のモダンガール 42人の大正快女伝(文春文庫,文藝春秋)2010
- 22. 大阪大学皮膚科学教室75年の歩みを顧みて.大阪大学皮膚科同窓会誌.1979
- 23. Public domain
- 24. 慶應義塾大学醫學部百年記念誌.慶應義塾大学医学部,2019
- 25. 藤巻時男. 慶応義塾大学医学部付属月ヶ瀬温泉治療学研究所.日本温泉気候物理医学会雑誌 29:1-2,1965-66
- 26. 名古屋市立大学消化器外科.教室の歴史・沿革
- 27. 大阪大学医学部皮膚科学教室.藤波得二4代教授
- 28. 町理子,小曽戸洋. 北里文太郎宛て葉書. 日本医史学雑誌 71:205-23,2025
- 29. 原邦郎.恩師藤浪先生 (藤浪和子編. 藤浪剛一追悼録) 1943